Department of Prosthodontics and Crown & Bridge
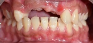
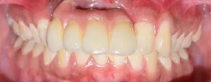
Prosthodontics and Crown & Bridge provide undergraduate and postgraduate instruction, patient care, and conduct research covering the many disciplines making up the broad specialty of prosthodontics. These disciplines include: fixed prosthodontics, removable prosthodontics, implant prosthodontics, maxillofacial prosthetics, and occlusion. The Department deals with the replacement of missing teeth and/ or associated structures of the head-face-neck region with artificial substitutes (prostheses). The department has an average of 500 patients visiting every month. It provides a wide range of treatment modalities to them, which include complete dentures, acrylic and cast partial dentures, over dentures, immediate dentures, crowns, fixed partial dentures, laminate veneers, full mouth rehabilitation, and implant-supported prostheses.
The Department of Prosthodontics and Crown & Bridge, in association with various Departments of Goa Medical College (Neurosurgery, Plastic Surgery, Surgery, Ophthalmology, and ENT), carries out complex rehabilitations of patients suffering from various developmental and acquired defects.
Teaching Staff
- Professor and Head: Dr. Meena Aras
- Professor: Dr. Vidya Chitre
- Professor: Dr. Ivy Coutinho
- Asst. Professor: Dr. Praveen Rajagopal
- Asst. Professor: Dr. Aradhana Nagarsekar
- Asst. Professor: Dr. Ashwin Mysore
- Asst. Professor: Dr. Kennedy Mascarenhas
- Lecturer: Dr. Godwin Clovis Da Costa
- Lecturer: Dr. Kathleen D’Souza
- Lecturer: Dr. Mitalee Mopkar
- Lecturer: Dr. Vivek Kavalekar
- Lecturer: Dr. Sadhvi Naik
- Senior Resident: Dr. Cora Coutinho
- Senior Resident: Dr. Minoshka Lobo
- Senior Resident: Dr. Pallavi Lawande
- MDS (Bond): Shubha Sarmalkar
- MDS (Bond): Meenu Jha
- MDS (Bond): K. Laltlanchhuanga
Non Teaching Staff
- Staff Nurse: Mrs. Clifa Camilo
- Staff Nurse: Miss. Shirona Gomes
- Staff Nurse: Mrs. Soniya Kerkar
- Staff Nurse: Miss. Nikita Naik
- Dental Technician: Mr. T. Kalaichelvan
- Dental Technician: Mr. R. Ganeshan
- Dental Technician: Mrs. Amina Bi
- Attendant: Mr. Shekhar Dabolkar
- Attendant: Mr. Anil Gaonkar
- Attendant: Mr. Laxman Kavalekar
- Attendant Utility (on contract): Smt. Rekha Chopdekar
Services Provided in the Department
- Complete Dentures
- Removable partial dentures (Cast Alloy / Acrylic Resin / Flexible Resin)
- Crowns
- Fixed partial dentures
- Veneers
- Prostheses for maxillofacial defects
- Ocular Prosthesis
- Implant-retained complete denture
- Implant retained crown
Academics
Intake of Undergraduate students: 50 per year
Intake of Postgraduate students: 3 per year
Passing percentage in the last 5 years: 100%
Placement of Postgraduate students (Last 5 Years):
- Teaching Positions- 4
- Practice- 11
Number of scientific publications (2023-2024): 17
Awards
- Dr. Sneha Gaonkar – Best Paper Award, Goa State Conference
- Dr. Monisha KP and Dr. Fouzia Khan – Best Poster Award, Goa State Conference
- Dr. Ruksana Farooqui – Best Paper Award, National Conference
- Dr. Sadhvi Naik – Best Paper, IPS Karnataka Conference
- Dr. Shannon Mendes – Best Paper Award, Goa IDA State Conference
- Dr. Muness A – Best Paper Award, 48th IPS National Conference
- Dr. Loveleen K – Best Paper Award, 47th IPS National Conference











